Auch der Frosch hat Nerven


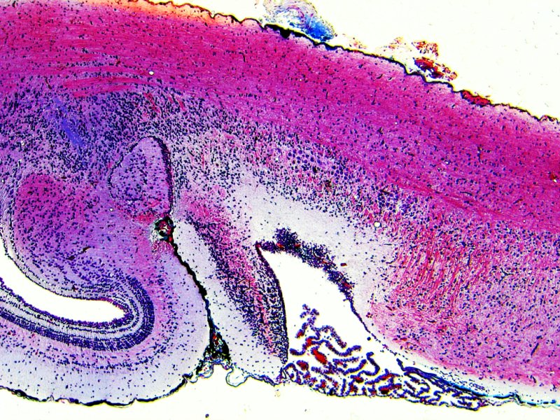
Die Entwicklung von Nervengewebe ist vermutlich die bemerkenswerteste Voraussetzung für die Entstehung von dem, was man nach matazoozentrischem Gusto "höheres Leben" nennt. Nerven transportieren Informationen, sowohl in rezeptiver Sicht, also zur Wahrnehmung jedweder Signale, oder in motorischer Weise, als Befehlsweiterleitung zu Muskeln. Dem gegenüber steht die Weiterleitung von Informationen mit Botenstoffen, die aus verschiedenen Geweben sekretiert werden. Auch das Wachstum und die Form, in dem Wachstum stattfindet, wird mit solchen Botenstoffen reguliert. Kann man die Funktion der Niere als Laie noch halbwegs nachvollziehen, wird dies beim Gehirn schwer möglich sein. Für den Experten übrigens auch. Obwohl der "Bucher", also eine "Histologie-Bibel", im Grunde recht detailfreudig ist, beschränkt man sich dort auf die "Schilderung einiger grundsätzlich wichtiger morphologischer Eigenschaften. Trotzdem fand ich dieses Bild aufschlussreich:


rana esculenta; cerebrum, sagittal (längs). Planachromat 2,5/0,08; Kpl 8x, Präparation: Lieder. Canon A95.


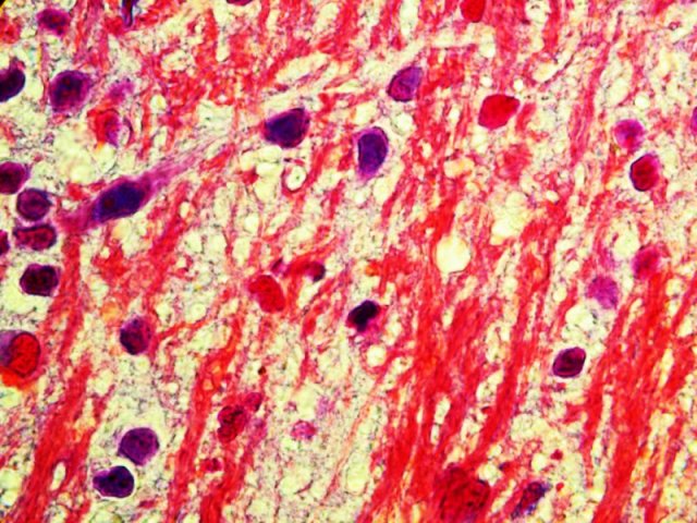
Rechts im Bild oben sieht man Strukturen, die mich an die Dendritenverästelung einer Purkinje-Zellen erinnern:

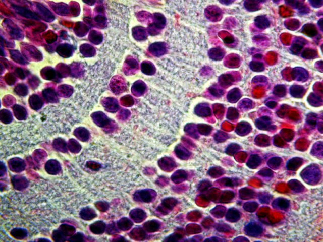
rana esculenta; cerebrum, sagittal (längs). Präparation: Lieder. Planapo 100/1,3, Kpl 8x, Canon A95.



Demnach könnten dies wohl Körnerzellen sein:


rana esculenta; cerebrum, sagittal (längs), Präparation: Lieder. Planapo 100/1,3, Kpl8x, Canon A95.


Man könnte fast den Verdacht bekommen, dass die Zellen, die man beim Menschen findet, beim Frosch nur anderst angeordnet sind.
Naja, vielleicht auch nicht:

homo sapiens; cerebrum. Cajal-Goldsublimat, Planapo 100/1,3, Kpl 8x, Canon A95.



Das Nervensystem besteht aber nicht nur aus Gehirn. Die motorischen/sensorischen Nerven ziehen sich wie Bündel von Stromkabel durch die Wirbelsäule durch den Körper. Auch dabei: Eine dicke Isolierung. Hier ist ein Schnitt durch das Rückenmark eines Froschs zu sehen, in 1000facher Vergrösserung:

rana spec., Planapo 100/1,3, Kpl 10x, Canon A95.




home  mikroseite   froschseite