Nieren


Nun, was macht die Niere ? Sie ist im Grunde sowas wie ein Filter. Sie holt das raus, was weg muss, und leitet diesen Müll in Form von Harn in die Blase. Wer nicht platzen will, geht für kleine Frösche. Sie ist also ein sehr wichtiges Organ, ohne sie würde der Körper recht zügig an seinen Stoffwechselprodukten zugrundegehen.

rana esculenta, Planachromat 2,5/0,08, Okular Kpl 10x, Canon A95
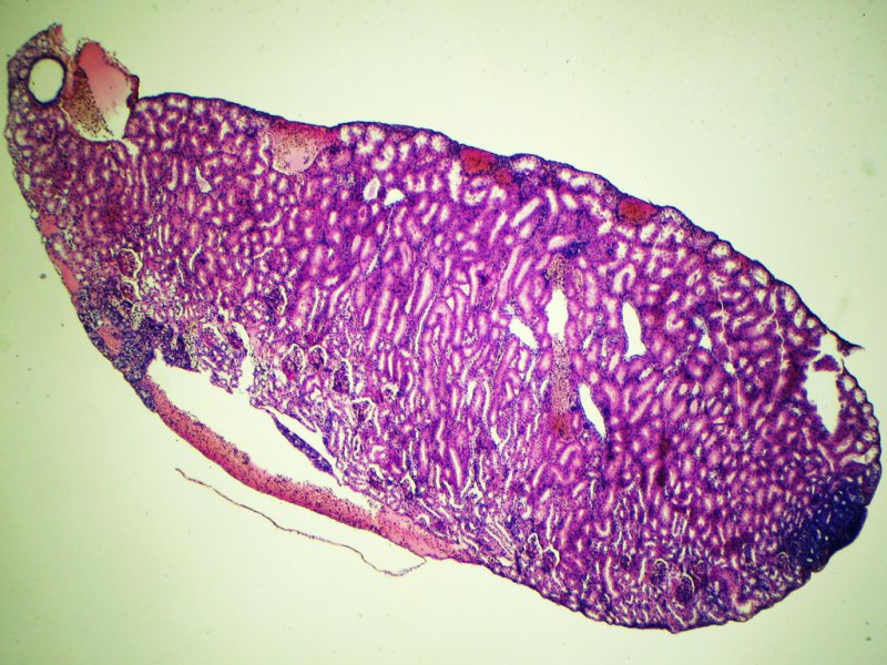
Wenn man an einer beliebigen Stelle ein wenig "hineinzoomt", sieht das so aus:

rana esculenta, Planachromat 16/0,35, Kpl 8x, Canon A95


Man sieht recht deutlich die Struktur der Kanäle. Allerdings bildet die Niere im Wesentlichen ein ganzes Netzwerk, das aus verschiedenen Kanälen besteht. In manchen der Kanäle fliesst das aufzubereitende Blut, dass allmählich quasi per Osmose gefiltert wird, während Urin in weiteren Kanälen gebildet, in wieder weiteren Kanälen aufkonzentriert und abgeleitet wird. Die Flüssigkeit, die beim Aufkonzentrieren anfällt, wird wieder in den Blutkreislauf zurückgeführt. Also - ebenfalls durch entsprechende Kanäle, wer in diesem Gewirr den Durchblick hat, kann es vielleicht zuordnen. Das Prinzip ist bei Hund, Katze, Maus und Mensch ähnlich, die Ausgestaltung aber deutlich anderst. So sieht es bei einer neugeborenen Katze aus:

felix spec., Planachromat 2,5/0,08, Kpl 8x, Canon A95; Präparation: Jungner Intruments


Man erkennt als ein wesentliches "Designmerkmal" der Niere kreisrunde Gebilde, Glomeruli - "Knäuel", die auch beim Frosch in den obigen Bildern in verminderter Zahl vorkamen. Hier, bei der (neugeborenen) Katze sind schon mehrere zu sehen:

felix spec., Planachromat 16/0,35, Kpl 8x, Canon A95; Präparation: Jungner Intruments


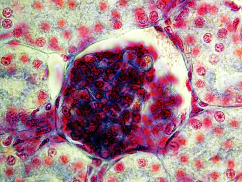
Zwei dieser Gebilde war so freundlich, sich von der richtigen Seite und in günstigem Anschnitt zu präsentieren. Man sieht deutlich, dass in diesem Nierenkörperchen Blutgefässe verlaufen wie Glühfäden in der Glühbirne. Dies erkennt man an dem Strang gelber Blutzellen, der sich in diesem Nierenkörperchen windet.


felix spec., Planapo 100/1,3, Okular Kpl 10x, Canon A95; Präparation: Jungner Intruments


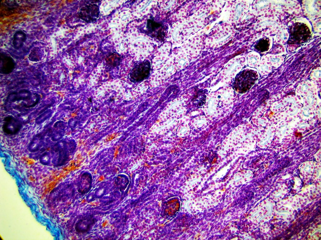
Dieses "Glomerulum" genannte Ding ist die Schnittstelle zwischen dem Blutkreislauf und den harnableitenden Nierenkanälen, hier wird das Blut gefiltert (Eiweisse und Zellen bleiben im Blut zurück) und in Form einer verdünnten Lösung abgeführt. In weiteren Kanälen, die im Übersichtsbild oben zu sehen sind, wird diese Lösung aufkonzentriert, und wertvolle Stoffe sowie verdünnte Flüssigkeit und Elektrolyte zurückgewonnen. Diese Kanäle sind gewunden. Die Windungen, von denen man im obigen Bild einige recht deutlich erkennen kann, nennt man "Henle-Schleifen". Sie sind im Gegensatz zum direkten Abgang aus dem Glomerulum etwas dünner. Oben im Bild verlaufen sie direkt über den Markstrahlen. Die Niere verarbeitet im Menschen gut 100 Liter Fl6uuml;ssigkeit pro Tag, auf der Wiesn sicher mehr. Das Konzentrat wandert in die Blase. Das Glomerulum fungiert als "Ultrafilter", hat zwei Anschlüsse für Blut (Vor- und Rücklauf) und einen für den Primärharn, der dann in den unzähligen Kanälen aufkonzentriert wird. Beim folgenden Exemplar sind alle drei Anschlüsse sichtbar, der Anschluss für die Blutgefässe ist unten links sichtbar, der für den Primärharn ist auf etwa "1 Uhr" zu sehen:

felix spec., Planapo 100/1,3, Okular Kpl 8x, Canon A95; Präparation: Jungner Instruments



Während im Schnitt der Froschniere nicht allzu viele dieser Nierenkörperchen zu sehen sind, setzt sich die Niere des Menschen u.a. aus etwa 1 Million dieser Glomeruli zusammen.(1) Bei Wikipedia findet sich zu diesem Thema ein netter Artikel mit einer aussagekräftigen Schemazeichnung.(2) Tiefergehende Informationen über die Histologie des Menschen findet man in gängigen Histologiebüchern, ich habe ein Exemplar bei eBay für 1 Euro erstanden (3), auch wenn man nur Bilder kucken will ist so eine Anschaffung sehr zu empfehlen, in der 10. Auflage sind etwa 600 Bilder enthalten, z.T. auch in Farbe. Die meisten Abbildungen sind sehr gute Zeichnungen.

home  mikroseite   froschseite


(1) Bernhard, "Nierenkörperchen mit Gefäss- und Harnpol" in Mikrokosmos, Jahrgang 66, Oktober 1977.
(2) http://www.wikipedia.org
(3) Otto Bucher, "Cytologie, Histologie und mikroskopische Anatomie des Menschen", 10. Auflage von 1980