Die wundersame Froschvermehrung...


Auch bei Fröschen geht es darum, dass Eier befruchtet werden. Es läuft im Einzelnen etwas anderst als bei Säugetieren, die entsprechenden Organe scheinen einander aber in etwa zu entsprechen. Jedenfalls die äussere Ähnlichkeit ist auffallend:

rana, testis, Planachromat 2,5/0,08, Kpl 10x, Präparation: Kosmos; Canon A95


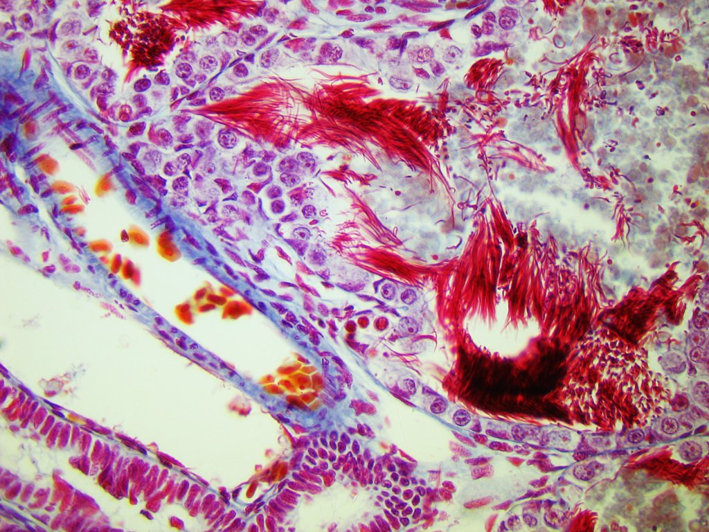
So etwa in der Mitte auf 9 Uhr sieht man ein Blutgefäss, das näherer Betrachtung trachtet:

rana, testis, Neofluar Ph2 25/0,6, Kpl 10x, Präparation: Kosmos; Canon A95


Hier sieht man etwas Bemerkenswertes. Die roten Blutkörperchen des Frosches haben nämlich einen Zellkern, während die gleichen Zellen beim Menschen schon so spezialisiert sind, dass sie nicht mehr über einen Eigenen verfügen. Sie sind bei uns nur noch Träger eines Pigments, das für den Transport von Sauerstoff zuständig ist, und werden nach Ablauf des Verfalsdatums z.B. von der Milz entsorgt.


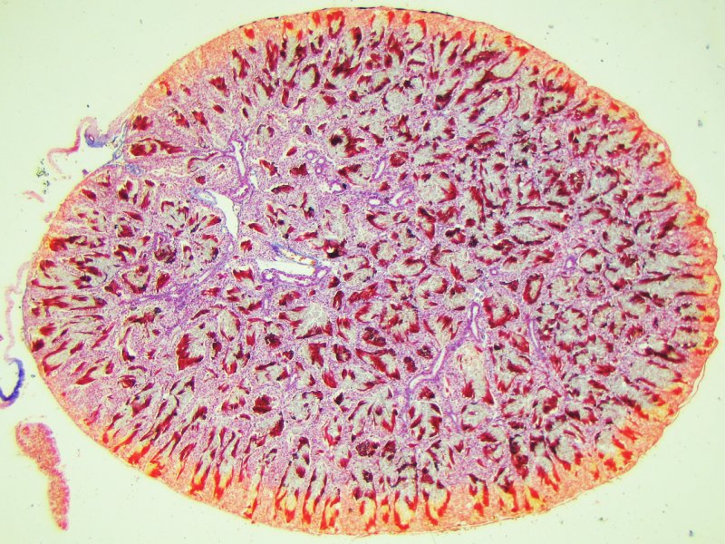
Das Ovar einer Fröschin:


Xenopus, Neofluar Ph2 25/0,6, Kpl 10x; Van Gieson; Canon A95



Xenopus, Neofluar Ph3 63/0,9, Kpl10x; Van Gieson, Canon A95


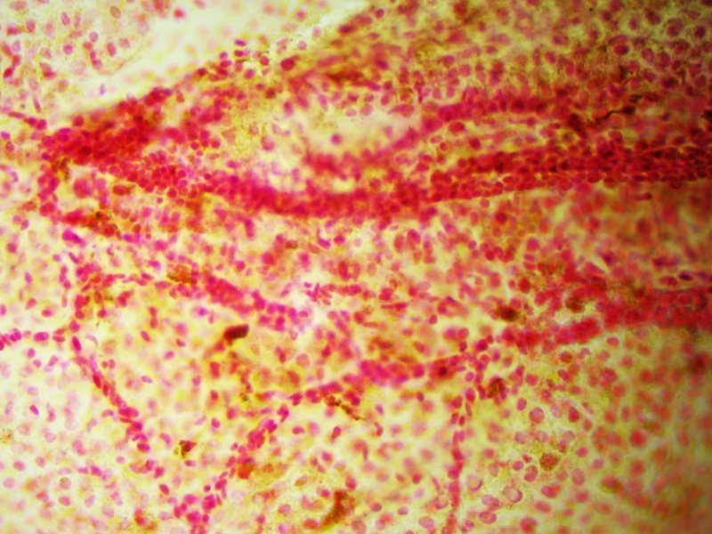
Wenn obige beiden Organpartien in ihrem Sinne zur Anwendung kommen, entwickeln sich die aus Teichen bekannten Kaulquappenschwärme. Der Schwanz einer solchen Quappe zeigt einen Einblick in den Blutkreislauf:

rana, Larve, Planachromat 2,5/0,08; Präparation: Lieder, Canon A95

Ein Ausschnitt von der Schwanzspitze:
Planachromat 16/0,35, Kpl 10x; Präparation: Lieder, Canon A95


Tja, und wenn so eine Quappe nicht als Vogelfutter oder anatomisches Präparat endet, entwickelt sie sich zu dem, was so gelassen aus dem Teich rausschaut.


home  mikroseite   froschseite